
生き物の中で起こっていることを画像化する技術「バイオイメージング」。北里大学未来工学部のバイオイメージインフォマティクス研究室では、そのバイオイメージング技術に、多種多様な、そして取捨選択した情報を上乗せし、新たな画像化技術を通じて新しい生き物の見え方を追究する研究領域に挑んでいます。ヒトは“モノを見る”のに特化した「目」を持っており、情報は目から入ってきて画像として理解されます。しかし、細胞の画像やCT画像の見方はただ一通りではありません。私たちはインフォマティクスを駆使し、画像から多数の有用なデータを引き出すことで、「世の中をあっと言わせる」カラフルな見え方を提供できるかもしれないのです。「新しい見え方」を求め、一緒に面白がって研究を楽しみましょう。

キンカチョウの脳断面図。神経細胞(ピンク色)、細胞核(青色)、ミエリン鞘(緑色)で可視化
研究室では、細胞組織レベルの機能を蛍光イメージングによって調べる研究を行っています。学生は自ら設計した蛍光タンパク質を細胞に導入し、取得したデータをデータサイエンスの手法で解析することで、自ら考え、手を動かし、実験を工夫するといった研究者としての感覚を身につけていきます。特に神経細胞や皮膚細胞、がん細胞などを用いて記憶や学習、細胞運動の仕組みに迫ることができ、美しいイメージングを通して「内なる宇宙」である細胞の神秘に触れられます。細胞培養や遺伝子操作も研究室内で完結できる環境が整っています。

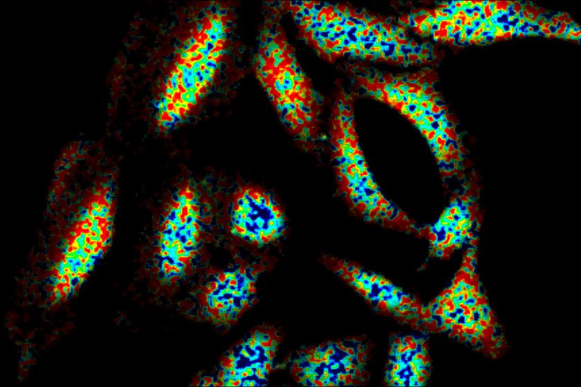
細胞内Mgイオンの可視化例。Mgイオン機能の解明を単一細胞レベルで進めています
高校生の時に探究学習などを通じて、「研究することの楽しさ」に目覚めた学生に最適な研究室です。生物が好きな人も数理が得意な人も、最先端のAIや研究環境で生命現象の解明に挑めます。

岡浩太郎教授
北里大学未来工学部データサイエンス学科 バイオイメージインフォマティクス研究室は、相模原キャンパス(神奈川県相模原市)に所在。指導教員として、岡浩太郎教授、谷森達教授、新藤豊准教授、設樂久志講師の計4名の教員が所属している。
※この画面の情報は、すべて取材した時点でのものになります。



