
縁の下の力持ち的に医療を支えていきたい

授業の60%が実習です

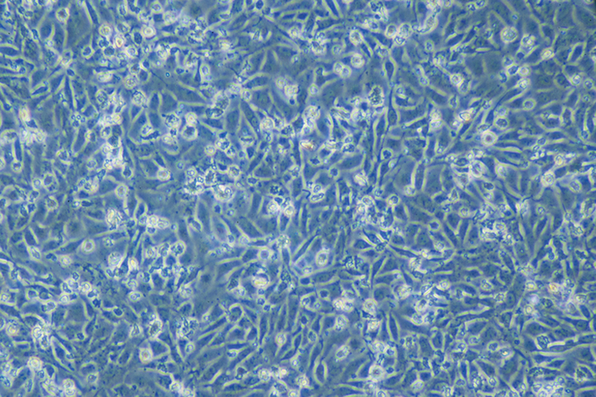
動物細胞の培養法を学ぶ「動物細胞実習」
生物の仕組みに興味があり、何か医療系に携わりたいと思って入学しました。1年次に基礎をしっかりやって、2年次から本格的な研究に入るカリキュラムです。いろいろ実験していく中で、もしかしたらここに繋がるかもとか、こうしたらどうなるんだろうみたいな疑問が出てきてそれが次の「もっと知りたい」に繋がっています。
基礎学習や分野研究に取り組むなかで、当初の医療分野への想いが具体的になり、今は癌の研究や人工授精についての研究を行う夢を持っています。これからインターン先を決めなくてはなりませんが、がん研究センターを考えています。インターン先の研究が就職に直結することもあるので先生と相談しながら決めようと思います。
実験動物の飼育管理や実験技術を学ぶことができるのが本校の一番の特長です。自分もその実験動物に惹かれてきました。実験動物に関して豊富な知識とスキルを持った先生がいるので、もう絶対的な信頼があります。
難しい実習もあり、厳しく指導されることもありますが、伸びる人はぐんぐん伸びると思います。現場のプロであり、優しく頼もしい先生方の胸を借りながら、技術や知識を磨いていきたい人にオススメです。
| 月 | 火 | 水 | 木 | 金 | 土 | |
|---|---|---|---|---|---|---|
| 1限目 | 分子生物学 | 実験動物取扱実習 | 自由時間 | 細胞培養概論 | 物理化学 | |
| 2限目 | 中級バイオ対策 | 実験動物取扱実習 | 自由時間 | 細胞培養概論 | 物理化学 | |
| 3限目 | 自由時間 | 実験動物取扱実習 | 自由時間 | 細胞培養概論 | プログラミング基礎 | |
| 4限目 | 自由時間 | 実験動物取扱実習 | 自由時間 | 細胞培養概論 | プログラミング基礎 | |
| 5限目 | ||||||
| 6限目 |
※上記はバイオ医薬品コースの時間割例です。
※この画面の情報は、すべて取材した時点でのものになります。



